advertise
مجموعه زیبایی و لاغری نوین / خدمات / جراحی های زیبایی و پیکر تراشی در اصفهان / ابدومینوپلاستی در اصفهان
icon
icon

ابدومینوپلاستی در اصفهان

عمل ابدومینوپلاستی در اصفهان که به عمل ابدو و تامی تاک نیز معروف است، یک عمل جراحی زیبایی برای صاف و سفت کردن شکم است. این عمل برای رفع مشکلاتی مانند پوست شل و افتاده، چربی اضافی شکم و خطوط استریا انجام می‌شود. در این مقاله به بررسی جراحی ابدو، عوارض ابدومینوپلاستی و هزینه آن میپردازیم همچنین فیلم عمل ابدو و عکس های ابدوپلاستی را نیز در اختیارتان خواهیم گذاشت. جراحی ابدومینو به منظور بهبود ظاهر و شکل بدن انجام می‌شود، ابدومینوپلاستی شکم در اصفهان به‌طور خاص برای کاهش چربی و اصلاح منطقه شکم و ناحیه اطراف آن استفاده می‌شود. در این روش، با از بین بردن چربی اضافی و اصلاح عضلات شکم، شکل و ظاهر ناحیه شکم بهبود می‌یابد.
برای رزرو نوبت جهت استفاده از خدمات رژیم درمانی و یا مشاوره پیکرتراشی مجموعه نوین، میتوانید با شماره ٠٩١٠٤٣٤٤٢٨٨ تماس حاصل فرمائید.

عمل ابدومینوپلاستی چیست؟

عمل ابدومینوپلاستی یک جراحی زیبایی است که به منظور بهبود شکل و ظاهر ناحیه شکم انجام می‌شود. در این جراحی، چربی اضافی و پوست اضافی از منطقه شکم و پهلوها برداشته می‌شود و عضلات شکم به‌طور معمول تقویت و تنظیم می‌شوند. هدف اصلی از این جراحی، اصلاح شکل و ظاهر ناحیه شکم، کاهش افتادگی پوست، و ایجاد یک پیکربندی باریکتر و تناسبی‌تر است. عمل ابدومینوپلاستی به‌طور خاص موارد زیر را شامل می‌شود: • برداشتن چربی اضافی: جراح چربی اضافی را از منطقه شکم و پهلوها جمع‌آوری می‌کند. • تنظیم مجدد عضلات شکم: عضلات شکم ممکن است توسط جراح تنظیم مجدد و تقویت شوند تا پیکربندی بهتری برای شکم ایجاد شود. • برش‌های پوستی: پوست اضافی و لخته شده از ناحیه شکم و پهلوها بریده می‌شود و پوست باقی‌مانده به شکل جدیدی به موضع خود متصل می‌شود. این جراحی معمولاً برای افرادی که پس از افزایش وزن، بارداری یا عوامل دیگر افتادگی و تغییرات بزرگی در ناحیه شکم و پهلوها تجربه کرده‌اند، مناسب است.

هزینه ابدو در اصفهان

هزینه عمل ابدومینوپلاستی در اصفهان به عوامل مختلفی بستگی دارد که در ادامه به برخی از آنها اشاره می‌کنیم.
 ۱. تجربه و مهارت جراح: جراحان باتجربه و ماهر معمولاً هزینه بیشتری برای عمل ابدومینوپلاستی دریافت می‌کنند.
 ۲. محل انجام عمل: هزینه عمل در بیمارستان‌های خصوصی و دولتی متفاوت است.
۳. نوع بیهوشی: بیهوشی عمومی معمولاً گران‌تر از بیهوشی موضعی است.
۴. وسعت عمل: عمل ابدومینوپلاستی می‌تواند به صورت کامل یا جزئی انجام شود. عمل ابدومینوپلاستی کامل که شامل برداشتن پوست و چربی اضافی از کل شکم است، معمولاً گران‌تر از عمل ابدومینوپلاستی جزئی است که فقط شامل برداشتن پوست و چربی اضافی از قسمت پایین شکم است.
 ۵. هزینه‌های جانبی: هزینه‌های جانبی مانند آزمایشات قبل از عمل، داروها، گن و جلسات معاینه بعد از عمل نیز باید در نظر گرفته شوند. در مجموعه نوین اصفهان، هزینه عمل ابدومینوپلاستی با توجه به عوامل ذکر شده در بالا و پس از معاینه توسط جراح و بررسی شرایط بیمار تعیین می‌شود. برای اطلاع از هزینه دقیق عمل ابدومینوپلاستی در مجموعه نوین اصفهان می‌توانید با ما تماس بگیرید.
در مجموعه زیبایی و لاغری نوین ما تلاش می کنیم تا قیمت های خود را تا حد امکان منصفانه و مقرون به صرفه نگه داریم. ما همچنین گزینه های مختلفی برای پرداخت هزینه ها به شما ارائه می دهیم تا بتوانید با خیال راحت عمل مورد نظر خود را انجام دهید.
قیمت ها ممکن است با توجه به عوامل مختلفی از جمله: حجم و پیچیدگی عمل ناحیه تحت درمان تجربه و تخصص جراح بیمه درمانی متغیر باشد.
برای دریافت مشاوره رایگان و برآورد دقیق قیمت عمل مورد نظر خود، با ما تماس بگیرید.

نوع عمل ابدومینوپلاستی

هزینه ( تومان)

ابدومینوپلاستی

۷۵,۰۰۰,۰۰۰

لیپو ابدومینوپلاستی

۹۵,۰۰۰,۰۰۰

مینی ابدومینوپلاستی

۵۰,۰۰۰,۰۰۰

icon
icon

جراحی ابدومینوپلاستی در اصفهان چگونه انجام میشود؟

جراح در عمل ابدو این مراحل را انجام میدهد: ۱.برش جراحی: برش افقی در زیر خط بیکینی ایجاد می‌شود. در برخی موارد، برش عمودی در اطراف ناف نیز ایجاد می‌شود. ۲.جدا کردن پوست: جراح پوست شکم را از عضلات زیرین جدا می‌کند. ۳.حذف چربی: جراح چربی اضافی شکم را از بین می‌برد. سفت کردن عضلات: جراح عضلات شکم را سفت می‌کند. ۴.کشیدن پوست: جراح پوست شکم را به سمت پایین کشیده و آن را بخیه می‌زند. انواع ابدومینوپلاستی: ابدومینوپلاستی کامل: برای افرادی که پوست شل و افتاده زیادی در شکم خود دارند مناسب است. و در این نوع روش برش جراحی در زیر خط بیکینی و اطراف ناف ایجاد می‌شود. ابدومینوپلاستی جزئی: در این نوع ابدومینوپلاستی، برش جراحی فقط در زیر خط بیکینی ایجاد می‌شود.
icon
icon

ابدومینوپلاستی شکم

ابدومینوپلاستی شکم در اصفهان، یا همان تامی تاک، یک روش جراحی زیبایی است که شکم را صاف و محکم می‌کند، پوست و چربی اضافی را برمیدارد. مزایا شامل داشتن یک شکم مسطحتر و بدنی بهتر شکل داده شده است. همچنین باعث افزایش اعتماد به نفس و انتخاب بیشتر لباس ها، کاهش درد کمر، و بهبود فرم بدن می‌شود. افرادی که وزن سالمی دارند، وزن بدن پایداری دارند، انتظارات واقعی دارند، غیر سیگاری هستند و شرایط پزشکی خاصی ندارند، از جمله افراد مناسب برای این جراحی هستند. فرایند بازگشت به سلامتی ممکن است طولانی و چالش‌برانگیز باشد و نیازمند چند هفته استراحت از کار و فعالیت‌هاست. هزینه ابدومینوپلاستی بستگی به تجربه جراح، مکان و اندازه روش دارد.

برگشت شکم بعد از ابدو

انجام ابدومینوپلاستی در اصفهان میتواند نتایج چشمگیری در بهبود ظاهر شکم شما داشته باشد، اما مهم است که بدانید نتایج دائمی نیستند و شکم شما ممکن است بعد از عمل دوباره برآمده شود.دلایل متعددی برای برگشت شکم بعد از عمل ابدومینوپلاستی وجود دارد، از جمله: افزایش وزن: اگر بعد از عمل ابدومینوپلاستی وزن خود را به طور قابل توجهی افزایش دهید، به خصوص در ناحیه شکم، پوست شما کشیده شده و چربی ها دوباره برمی گردند. بارداری: بارداری باعث کشش پوست شکم می شود و حتی اگر بعد از بارداری به وزن قبل از بارداری خود بازگردید، ممکن است شکم شما به طور کامل به حالت قبل از بارداری خود بازنگردد. عدم رعایت رژیم غذایی و ورزش: برای حفظ نتایج ابدومینوپلاستی، ضروری است که بعد از عمل، رژیم غذایی سالم داشته باشید و به طور مرتب ورزش کنید. اگر رژیم غذایی ناسالمی داشته باشید یا به طور مرتب ورزش نکنید، ممکن است دچار افزایش وزن و برگشت چربی شوید. عوامل ژنتیکی: برخی از افراد به طور ژنتیکی مستعد تجمع چربی در ناحیه شکم هستند. اگر سابقه خانوادگی چاقی یا تجمع چربی در شکم دارید، ممکن است در معرض خطر بیشتری برای برگشت شکم بعد از عمل ابدومینوپلاستی باشید. افزایش سن: با افزایش سن، پوست شما خاصیت ارتجاعی خود را از دست می دهد و ممکن است شل و افتاده شود. این امر می تواند به برگشت شکم، حتی اگر وزن خود را ثابت نگه دارید، کمک کند. جراحی: برخی از جراحی ها، مانند جراحی لگن یا هیسترکتومی، می توانند باعث شل شدن پوست شکم و برگشت چربی شوند.

با ما خوش اندام تر از همیشه باشید!

دریافت نوبت جراحی های پیکرتراشی در مجموعه نوین اصفهان

تفاوت لیپوساکشن با ابدومینوپلاستی

لیپوساکشن و ابدومینوپلاستی دو روش محبوب برای حذف چربی اضافی و تناسب اندام هستند. هر دو روش مزایا و معایب خود را دارند. 
لیپوساکشن چربی اضافی را از طریق لوله‌های باریکی که از طریق برش‌های کوچک وارد بدن می‌شوند، خارج می‌کند.
مناطق قابل درمان: لیپوساکشن می‌تواند در نواحی مختلف بدن مانند شکم، ران، پهلو، بازو، باسن و غبغب انجام شود.
دوره نقاهت: دوره نقاهت لیپوساکشن کوتاه است و معمولاً چند روز طول می‌کشد.
نتایج: نتایج لیپوساکشن دائمی است، اما اگر وزن خود را افزایش دهید، ممکن است چربی در نواحی دیگر بدن شما تجمع یابد.
ابدومینوپلاستی:با حذف چربی و پوست اضافی در ناحیه شکم، به تناسب اندام دلخواهتان برسید. عضلات شکم خود را تقویت و سفت کنید. این عمل فقط برای ناحیه شکم انجام می‌شود. به دلیل ماهیت تهاجمی‌تر، دوره نقاهت آن طولانی‌تر از لیپوماتیک است (معمولاً چند هفته).
نتایج ابدومینوپلاستی دائمی هستند، اما افزایش وزن می‌تواند باعث شل شدن مجدد پوست شکم شود.جمع بندی: لیپوساکشن چربی را از بین می‌برد، در حالی که ابدومینوپلاستی پوست و چربی را از بین می‌برد. لیپوساکشن می‌تواند در نواحی مختلف بدن انجام شود، در حالی که ابدومینوپلاستی فقط برای ناحیه شکم قابل انجام است. دوره نقاهت ابدومینوپلاستی طولانی‌تر از لیپوساکشن است. نتایج هر دو روش دائمی است، اما اگر وزن خود را افزایش دهید، ممکن است نتایج تحت‌الشعاع قرار گیرند. 
icon
icon

کدام یک برای من مناسب تر است؟

انتخاب روش مناسب به نیازها و اهداف شما بستگی دارد. اگر به دنبال حذف چربی اضافی از نواحی مختلف بدن خود هستید، لیپوساکشن ممکن است گزینه مناسب‌تری برای شما باشد. اگر به دنبال صاف کردن شکم و رفع افتادگی پوست هستید، عمل ابدومینوپلاستی یا تامی تاک در اصفهان ممکن است گزینه مناسب‌تری برای شما باشد.

تفاوت ابدومینوپلاستی با لیپوماتیک

لیپوماتیک: لیپوماتیک چربی اضافی را با استفاده از امواج اولتراسوند مایع می‌کند و سپس آن را از طریق لوله‌های باریکی که از طریق برش‌های کوچک وارد بدن می‌شوند، خارج می‌کند. مناطق قابل درمان: لیپوماتیک می‌تواند در نواحی مختلف بدن مانند شکم، ران، پهلو، بازو، باسن و غبغب انجام شود. دوره نقاهت: دوره نقاهت لیپوماتیک کوتاه است و معمولاً چند روز طول می‌کشد. نتایج: نتایج لیپوماتیک دائمی است، اما اگر وزن خود را افزایش دهید، ممکن است چربی در نواحی دیگر بدن شما تجمع یابد.
ابدومینوپلاستی: عمل ابدومینوپلاستی با برداشتن پوست و چربی اضافی در منطقه شکم، به تناسب و فرم دلخواه شکم شما کمک می‌کند و در عین حال عضلات شکم را تقویت و سفت می‌کند. این عمل تنها برای ناحیه شکم انجام می‌شود و نیاز به یک دوره نقاهت طولانی‌تر از لیپوماتیک دارد که معمولاً چند هفته به طول می‌انجامد. اگرچه نتایج ابدومینوپلاستی دائمی است، اما اگر وزن خود را افزایش دهید، ممکن است پوست شکم شما دوباره شل شود.
تفاوت‌های کلیدی: لیپوماتیک از امواج اولتراسوند برای مایع کردن چربی استفاده می‌کند، در حالی که ابدومینوپلاستی چربی را به صورت مکانیکی از بین می‌برد. لیپوماتیک می‌تواند در نواحی مختلف بدن انجام شود، در حالی که ابدومینوپلاستی فقط برای ناحیه شکم قابل انجام است. دوره نقاهت ابدومینوپلاستی طولانی‌تر از لیپوماتیک است. نتایج هر دو روش دائمی است، اما اگر وزن خود را افزایش دهید، ممکن است نتایج تحت‌الشعاع قرار گیرند.

کدام روش جراحی در اصفهان را انتخاب کنم؟

انتخاب روش مناسب به نیازها و اهداف شما بستگی دارد. لیپوماتیک ممکن است برای شما مناسب باشد اگر به دنبال حذف چربی اضافی از نواحی مختلف بدن خود هستید. چربی کم تا متوسط دارید، پوست اضافی زیادی ندارید، زمان محدودی برای بهبودی دارید. ابدومینوپلاستی ممکن است برای شما مناسب باشد اگر به دنبال صاف کردن شکم و رفع افتادگی پوست هستید، چربی زیاد دارید، پوست اضافی زیادی دارید، زمان کافی برای بهبودی دارید.

عوارض عمل ابدومینوپلاستی

آبدومینوپلاستی در اصفهان می‌تواند برای افراد با شرایط زیر مناسب باشد: افرادی که به دلیل بارداری، کاهش وزن یا افزایش سن دچار افتادگی و شلی پوست شکم شده‌اند. افرادی که چربی اضافی در شکم خود دارند و با رژیم غذایی و ورزش نتوانسته‌اند آن را از بین ببرند. افرادی که از ظاهر شکم خود ناراضی هستند و می‌خواهند ظاهری زیباتر و خوش‌فرم‌تر داشته باشند. مانند هر عمل جراحی، ابدومینوپلاستی نیز خطرات و عوارض خود را دارد. در اینجا به برخی از عوارض احتمالی ابدومینوپلاستی و راهکارهای آن اشاره می‌کنیم: عوارض شایع: کبودی و تورم: این عوارض طبیعی هستند و معمولاً در عرض چند هفته از بین می‌روند. درد: درد بعد از عمل طبیعی است و می‌توان آن را با داروهای مسکن کنترل کرد. عفونت: با رعایت بهداشت و مصرف آنتی‌بیوتیک می‌توان از بروز عفونت جلوگیری کرد. جای زخم: جای زخم دائمی است، اما با گذشت زمان محو می‌شود.
عوارض نادر: خونریزی: با مراقبت‌های پزشکی می‌توان خونریزی را کنترل کرد. لخته شدن خون: با انجام آزمایشات قبل از عمل و مصرف داروهای ضد انعقاد خون می‌توان از بروز لخته شدن خون جلوگیری کرد. آسیب به اعصاب: این عارضه می‌تواند منجر به بی‌حسی یا گزگز شدن در ناحیه شکم شود. نکروز پوست: این عارضه نادر است و در اثر عدم خونرسانی به پوست رخ می‌دهد. راهکارهای کاهش عوارض ابدومینو: انتخاب یک جراح مجرب و ماهر: انتخاب یک جراح باتجربه و ماهر می‌تواند به طور قابل توجهی خطر عوارض را کاهش دهد. انجام آزمایشات قبل از عمل: انجام آزمایشات قبل از عمل می‌تواند به جراح در تشخیص هر گونه مشکل سلامتی که ممکن است خطر عمل را افزایش دهد، کمک کند. مصرف داروهای تجویز شده: مصرف داروهای تجویز شده توسط جراح می‌تواند به کاهش خطر عفونت و لخته شدن خون کمک کند. رعایت بهداشت: رعایت بهداشت محل زخم می‌تواند به جلوگیری از عفونت کمک کند. استفاده از گن: استفاده از گن می‌تواند به کاهش تورم و درد کمک کند. خودداری از انجام فعالیت‌های سنگین: در دوران نقاهت باید از انجام فعالیت‌های سنگین خودداری کنید تا به بهبودی زخم و ترمیم عضلات شکم کمک کنید.

مراقبت های قبل و بعد از عمل ابدومینوپلاستی در اصفهان

۱. معاینه توسط جراح: قبل از هر چیز، باید توسط یک جراح مجرب و ماهر معاینه شوید. جراح در این معاینه، شرایط شما را بررسی می‌کند و در مورد مناسب بودن یا نبودن ابدومینوپلاستی برای شما تصمیم می‌گیرد. جراح همچنین در مورد هزینه عمل، مراحل عمل، مراقبت‌های قبل و بعد از عمل و عوارض احتمالی با شما صحبت خواهد کرد. ۲. انجام آزمایشات: قبل از عمل، باید آزمایشات مختلفی را انجام دهید تا از سلامتی شما مطمئن شویم. این آزمایشات شامل آزمایش خون، آزمایش ادرار، نوار قلب و عکس قفسه سینه می‌شود. ۳. مصرف داروها: اگر داروهای خاصی مصرف می‌کنید، باید حتماً به جراح خود اطلاع دهید. جراح ممکن است از شما بخواهد که مصرف برخی از داروها را قبل از عمل قطع کنید. ۴. قطع مصرف دخانیات: مصرف دخانیات می‌تواند خطر عوارض عمل را افزایش دهد. بنابراین، لازم است که حداقل دو هفته قبل از عمل، مصرف دخانیات را قطع کنید. ۵. رژیم غذایی سالم: داشتن یک رژیم غذایی سالم قبل از عمل می‌تواند به بهبودی سریع‌تر شما کمک کند. ۶. ورزش: انجام ورزش‌های منظم می‌تواند به تقویت عضلات شما و بهبودی سریع‌تر شما بعد از عمل کمک کند. ۷. استراحت کافی: قبل از عمل، حتماً استراحت کافی داشته باشید تا بدن شما برای عمل آماده شود. ۸. آماده کردن محل زندگی: قبل از عمل، محل زندگی خود را برای بعد از عمل آماده کنید. برای مثال، می‌توانید از یک نفر بخواهید که در چند روز اول بعد از عمل از شما مراقبت کند. ۹. تهیه لوازم مورد نیاز: قبل از عمل، لوازم مورد نیاز بعد از عمل مانند گن، داروها و ملزومات بهداشتی را تهیه کنید. با رعایت این نکات می‌توانید به بهبودی سریع‌تر و عوارض کمتر بعد از عمل ابدومینوپلاستی کمک کنید. در اینجا چند نکته اضافی در مورد مراقبت‌های قبل از عمل ابدومینوپلاستی آورده شده است: در مورد تمام سوالات و نگرانی‌های خود با جراح خود صحبت کنید. از مصرف داروهای ضدالتهابی غیراستروئیدی مانند ایبوپروفن و آسپرین قبل از عمل خودداری کنید. در روز عمل، ناشتا باشید و هیچ چیزی نخورید و ننوشید.
بعد از عمل، لازم است که بیمار برای بهبودی سریع‌تر و جلوگیری از عوارض، مراقبت‌های خاصی را انجام دهد. در اینجا به برخی از مراقبت‌های بعد از عمل ابدومینوپلاستی اشاره می‌کنیم. ۱. استراحت: بعد از عمل، باید به اندازه کافی استراحت کنید. معمولاً لازم است که حدود ۲ تا ۳ هفته در خانه استراحت کنید و از انجام فعالیت‌های سنگین خودداری کنید. ۲. مصرف داروها: جراح برای شما داروهای مسکن و آنتی‌بیوتیک تجویز می‌کند. لازم است که این داروها را طبق دستور جراح مصرف کنید. ۳. مراقبت از زخم: محل زخم را باید تمیز و خشک نگه دارید. پانسمان زخم را باید طبق دستور جراح تعویض کنید. از شنا کردن و قرار گرفتن در معرض آفتاب تا زمانی که زخم به طور کامل بهبود پیدا نکرده است، خودداری کنید. ۴. استفاده از گن: لازم است که بعد از عمل از گن استفاده کنید. گن به کاهش تورم و حمایت از عضلات شکم کمک می‌کند. ۵. رژیم غذایی: بعد از عمل، باید یک رژیم غذایی سالم و مغذی داشته باشید. از مصرف غذاهای سنگین و چرب خودداری کنید. ۶. ورزش: بعد از بهبودی کامل زخم، می‌توانید ورزش‌های سبک را شروع کنید. از انجام فعالیت‌های سنگین و طاقت‌فرسا تا زمانی که جراح اجازه نداده است، خودداری کنید. ۷. پیگیری با جراح: لازم است که بعد از عمل به طور منظم با جراح خود ملاقات کنید تا جراح روند بهبودی شما را بررسی کند. با رعایت این نکات می‌توانید به بهبودی سریع‌تر و عوارض کمتر بعد از عمل ابدومینوپلاستی کمک کنید. در اینجا چند نکته اضافی در مورد مراقبت‌های بعد از عمل ابدومینوپلاستی آورده شده است: در صورت مشاهده هر گونه علائم غیرعادی مانند تب، لرز، درد شدید، خونریزی یا عفونت، با جراح خود تماس بگیرید. از مصرف داروهای بدون نسخه بدون مشورت با جراح خودداری کنید. در مورد زمان مناسب برای بازگشت به کار و فعالیت‌های روزمره خود از جراح خود سوال کنید.

هزینه عمل ابدو

هزینه عمل ابدومینوپلاستی به عوامل مختلفی بستگی دارد که در ادامه به برخی از آنها اشاره می‌کنیم. ۱. تجربه و مهارت جراح: جراحان باتجربه و ماهر معمولاً هزینه بیشتری برای عمل ابدومینوپلاستی دریافت می‌کنند. ۲. محل انجام عمل: هزینه عمل در بیمارستان‌های خصوصی و دولتی متفاوت است. ۳. نوع بیهوشی: بیهوشی عمومی معمولاً گران‌تر از بیهوشی موضعی است. ۴. وسعت عمل: عمل ابدومینوپلاستی می‌تواند به صورت کامل یا جزئی انجام شود. عمل ابدومینوپلاستی کامل که شامل برداشتن پوست و چربی اضافی از کل شکم است، معمولاً گران‌تر از عمل ابدومینوپلاستی جزئی است که فقط شامل برداشتن پوست و چربی اضافی از قسمت پایین شکم است. ۵. هزینه‌های جانبی: هزینه‌های جانبی مانند آزمایشات قبل از عمل، داروها، گن و جلسات معاینه بعد از عمل نیز باید در نظر گرفته شوند. در مجموعه نوین اصفهان، هزینه عمل ابدومینوپلاستی با توجه به عوامل ذکر شده در بالا و پس از معاینه توسط جراح و بررسی شرایط بیمار تعیین می‌شود. برای اطلاع از هزینه دقیق عمل ابدومینوپلاستی در مجموعه نوین اصفهان می‌توانید با ما تماس بگیرید.
icon
icon

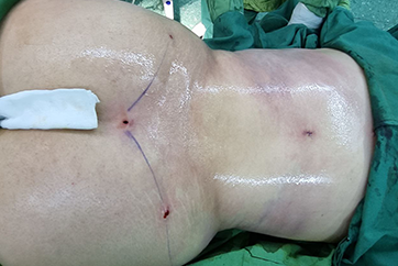
عکس های جراحی ابدومینوپلاستی در اصفهان

جراحی ابدومینوپلاستی در اصفهان توسط جراحان پلاستیک مجرب و با استفاده از تجهیزات نوین در کلینیک نوین اندام انجام می‌شود. این کلینیک با ارائه خدمات با کیفیت و قیمت مناسب، به شما کمک می‌کند تا به اندام ایده آل خود برسید. برای دریافت مشاوره رایگان و اطلاعات بیشتر در مورد جراحی ابدومینوپلاستی در اصفهان با کلینیک نوین اندام تماس بگیرید.

بهترین کلینک ابدومینوپلاستی در اصفهان

در مجموعه نوین انواع خدمات پیکر تراشی به روش‌های تهاجمی، نیمه تهاجمی و غیر تهاجمی صورت می‌پذیرد. انواع خدمات لیپوماتیک، لیپوساکشن، ترانسفر چربی، ماموپلاستی و ابدمینوپلاستی را می‌توانید از نوین اندام دریافت کنید.

مقاله علمی درباره ابدومینوپلاستی

ابدومینوپلاستی زیبایی و عملکردی: طبقه بندی آناتومیکی و بالینی بر اساس یک مطالعه گذشته نگر ۱۲ ساله:
بازسازی شکم یک عمل جراحی زیبایی رایج است و تکنیک های جراحی متعددی در منابع علمی شرح داده شده است. به منظور استانداردسازی رویکرد جراحی، ما پروتکل خود را پیشنهاد می کنیم که آناتومی بیماران را با نوع عمل انجام شده مرتبط می سازد. روش‌ها: ما به صورت گذشته نگر، ۵۸۲ بیمار زن متوالی را که تحت عمل بازسازی شکم بین سال‌های ۲۰۰۸ تا ۲۰۲۰ قرار گرفته بودند، مورد بررسی قرار دادیم. در این بررسی، ویژگی‌های آناتومیکی، میزان عوارض، رضایت بیمار و نتایج جراحی با گزارش‌های قبلی در منابع علمی مقایسه شد. نتایج زیبایی با مقیاس ارزیابی بصری (VAS) از ۰ تا ۱۰ ارزیابی شد.
نتایج: در میان ۵۸۲ بیمار شرکت کننده در مطالعه، ۷۴ لیپوساکشن به عنوان تک روش انجام شد، ۶۲ مینی ابدومینوپلاستی، ۲۸ ابدومینوپلاستی T معکوس و ۴۱۸ ابدومینوپلاستی کامل انجام گرفت. ارزیابی نتایج زیبایی، میانگین نمره ۸.۲ از بیماران و ۷.۸ از جراحان را نشان داد. ما با چهار مورد خونریزی زودرس پس از عمل که نیاز به اصلاح هموستاز داشت، ۱۸ مورد باز شدن زخم، پنج مورد سروما و ۲۴ مورد جراحی مجدد برای مشکلات زیبایی مواجه شدیم. در مقایسه داده‌های خود با گزارش‌های قبلی در منابع علمی، هیچ تفاوت قابل توجهی در میزان عوارض مشاهده نکردیم.
نتیجه‌گیری:
پروتکل و تکنیک جراحی ما با رضایت بالا از بیمار و جراح، میزان عوارض پایین و زمان بهبودی سریع، موثر، ایمن و قابل تکرار بودن خود را ثابت کرده است.
منبع:/https://www.ncbi.nlm.nih.gov/pmc/articles/PMC۸۶۸۷۷۲۹

شما پرسیده اید.

دوران بارداری همواره به عنوان یک دوره مهم در زندگی زنان مورد توجه قرار گرفته و دارای مسائل و ابهامات خود است. در صورتی که به عمل جراحی زیبایی مد نظر دارید و قبلاً عمل جراحی زمینه‌ای داشته‌اید، حتماً باید با پزشک متخصص زنان و زایمان مشورت کنید تا هماهنگی لازم را انجام دهید. همچنین، در صورتی که شکم شما در دوران بارداری کوچکتر از حالت طبیعی باشد، اغراق در نگرانی نکنید، زیرا این موضوع معمولاً تأثیر مخربی بر رشد جنین ندارد و اختلالات جدی ایجاد نمی‌کند. انجام مشورت‌های لازم با پزشکان مختلف و اطلاعات دقیق در این زمینه به شما کمک می‌کند تا تصمیمات منطقی و سازنده‌تری بگیرید.

فرم رزرو نوبت مجموعه لاغری و زیبایی نوین


تغذیه و رژیم درمانی
دستگاه آنالیز بدن
دستگاه آنالیز بدن
پکیج های ویژه لاغری
تکنیک های امبدینگ
مزوتراپی
مزو امبدینگ
کرایو لیپولیز
اگزیمیا
زاویه سازی و کانتورینگ صورت
انواع بوتاکس های زیبایی و درمانی
حجم دهی
هایفوتراپی
جوانسازی و لیفت صورت
لیفت شقیقه و گردن
لیفت بینی
بلفاروپلاستی ( افتادگی پلک )
ژل لب
سایر خدمات
فول بادی
پکیج کاربردی
توتال بادی
سایر نواحی
ابدومینوپلاستی
ترانسفر چربی در نواحی مختلف صورت و بدن
لیپوساکشن
لیپوماتیک
ماموپلاستی

خدمات مشابه نوین اندام

لیپوساکشن در اصفهان

لیپوساکشن در اصفهان

لیپوساکشن یک روش برای از بین بردن و بیرون کشیدن چربی‌های موضعی و بهبود زیبایی اندام‌ها است. این جراحی بدون درد و خون‌ریزی انجام می‌شود و دوران نقاهت آن سریع و کوتاه است.

تزریق چربی در اصفهان

تزریق چربی در اصفهان

ترانسفر چربی یک روش جراحی پلاستیکی است که با برداشت چربی از یک منطقه از بدن و منتقل کردن آن به منطقه‌ای دیگر، به ایجاد تغییرات زیبایی و تقویت اندازه و شکل بدن کمک می‌کند.

ماموپلاستی در اصفهان

ماموپلاستی در اصفهان

ماموپلاستی یک عمل جراحی است که به منظور بهبود شکل و اندازه سینه‌ها انجام می‌شود. این عمل ممکن است شامل کوچک‌تر کردن یا بزرگ‌تر کردن سینه‌ها اصلاح شکل و زیبایی سینه‌ها و حتی کاهش افتادگی و لختی پوست در این منطقه باشد.

ابدومینوپلاستی در اصفهان

ابدومینوپلاستی در اصفهان

جراحی کمربند شکم، معروف به ابدومینوپلاستی، یک روش زیبایی مؤثر برای بهبود شکل و ظاهر منطقه شکم می‌باشد.

لیپوماتیک در اصفهان

لیپوماتیک در اصفهان

لیپوماتیک یک روش ایمن و موثر برای از بین بردن چربی های موضعی است. این روش با مزایای زیادی نسبت به سایر روش‌های برداشتن چربی همراه است و می‌تواند نتایج طبیعی‌تری ایجاد کند.

انواع روش های جوانسازی در مجموعه نوین

انواع تزریق بوتاکس در مجموعه نوین

سایر جراحی های زیبایی مجموعه نوین

انواع جراحی پیکر تراشی در مجموعه نوین

لیپوساکشن در اصفهان

لیپوساکشن در اصفهان

لیپوساکشن یک روش برای از بین بردن و بیرون کشیدن چربی‌های موضعی و بهبود زیبایی اندام‌ها است. این جراحی بدون درد و خون‌ریزی انجام می‌شود و دوران نقاهت آن سریع و کوتاه است.

تزریق چربی در اصفهان

تزریق چربی در اصفهان

ترانسفر چربی یک روش جراحی پلاستیکی است که با برداشت چربی از یک منطقه از بدن و منتقل کردن آن به منطقه‌ای دیگر، به ایجاد تغییرات زیبایی و تقویت اندازه و شکل بدن کمک می‌کند.

ماموپلاستی در اصفهان

ماموپلاستی در اصفهان

ماموپلاستی یک عمل جراحی است که به منظور بهبود شکل و اندازه سینه‌ها انجام می‌شود. این عمل ممکن است شامل کوچک‌تر کردن یا بزرگ‌تر کردن سینه‌ها اصلاح شکل و زیبایی سینه‌ها و حتی کاهش افتادگی و لختی پوست در این منطقه باشد.

ابدومینوپلاستی در اصفهان

ابدومینوپلاستی در اصفهان

جراحی کمربند شکم، معروف به ابدومینوپلاستی، یک روش زیبایی مؤثر برای بهبود شکل و ظاهر منطقه شکم می‌باشد.

لیپوماتیک در اصفهان

لیپوماتیک در اصفهان

لیپوماتیک یک روش ایمن و موثر برای از بین بردن چربی های موضعی است. این روش با مزایای زیادی نسبت به سایر روش‌های برداشتن چربی همراه است و می‌تواند نتایج طبیعی‌تری ایجاد کند.

دستگاه های لاغری مجموعه نوین

مجموعه زیبایی و لاغری نوین

مجموعه زیبایی و لاغری نوین

مجموعه زیبایی و لاغری نوین

دستگاه بادى آنالیز

دستگاه بادى آنالیز

دستگاه بادی آنالیز یا بادی کامپوزیشن آنالایزر درصد نسبی چربی، ماهیچه، آب در داخل بدن و میزان ویتامین مینرال را اندازه گیری می کند.

تردمیل

تردمیل

تردمیل، ابزاری که در حال حاضر در بیشتر مراکز ورزشی و حتی خانه‌های افراد مشاهده می‌شود، یک گام موثر و مهم در راه بهبود سلامتی و تناسب اندام است

نظرات و پیشنهادات خود را با ما در میان بگذارید.
صادقی
سه شنبه ۸ اردیبهشت ۱۴۰۵ - ۱۷:۱۱

انجام دادن ابدومینوپلاستی می‌تونه عضلات شکم رو هم سفت کنه؟

۰
۰
Site manager در پاسخ صادقی
چهارشنبه ۹ اردیبهشت ۱۴۰۵ - ۱۵:۲۶

با عرض سلام و درود
بله،
یکی از اهداف اصلی ابدومینوپلاستی سفت کردن عضلات شل شکم هست، مخصوصاً در افرادی که
بعد از بارداری یا کاهش وزن زیاد عضلاتشون شل شده. جراح عضلات رو بخیه می‌زنه تا فرم
طبیعی شکم بازگرده و کانتور بهتری ایجاد بشه.

۰
۰
ناشناس
شنبه ۳ آبان ۱۴۰۴ - ۱۶:۴۱

ابدومینوپلاستی در اصفهان همزمان با لیپوساکشن امکان‌پذیره؟

۰
۰
Site manager در پاسخ ناشناس
دوشنبه ۵ آبان ۱۴۰۴ - ۱۵:۴۸

با سلام و احترام خدمت شما
بله،
خیلی‌ها این ترکیب رو انتخاب می‌کنن تا دور کمر و پهلو هم فرم بگیره، ولی زمان عمل
طولانی‌تر و دوره نقاهت کمی سخت‌تر میشود.

۰
۰
کاظمی
یکشنبه ۲۰ مهر ۱۴۰۴ - ۱۴:۴۶

سلام:میخوام بدونم بعد ابدومینوپلاستی ورم شکم چقدر طول می‌کشه تا بره؟

۰
۰
Site manager در پاسخ کاظمی
شنبه ۲۶ مهر ۱۴۰۴ - ۱۵:۵۶

با سلام و عرض ادب
ورم
اولیه طی ۲–۳ هفته کاهش پیدا می‌کنه، ولی برای نتیجه نهایی و شکل
کامل شکم باید ۳ تا ۶ ماه صبر کنید. رعایت دستورات
پزشک برای پوشیدن گن و حرکت سبک خیلی کمک‌کننده‌ست.

۰
۰
ناشناس
چهارشنبه ۹ مهر ۱۴۰۴ - ۱۶:۳۸

برای اینکه ابدومینوپلاستی در اصفهان انجام بدیم بهترین سن چه موقعه ؟

۰
۰
Site manager در پاسخ ناشناس
دوشنبه ۱۴ مهر ۱۴۰۴ - ۱۴:۰۷

با سلام و احترام
معمولا
بین ۲۰ تا ۵۰ سال مناسب‌تره، ولی مهم‌تر
از سن، وضعیت سلامت عمومی و ثبات وزن فرده. جراح با بررسی دقیق شرایط شما تصمیم می‌گیره.

۰
۰
سیمین
یکشنبه ۳۱ تیر ۱۴۰۳ - ۱۵:۵۲

با سلام دختر من ۲۴ سالشه و قصد انجام عمل ابدومینوپلاستی داره ایا جراحی ابدومینو پلاستی عوارض داره؟اگرداره چه چیزایی هستن؟

۰
۰
Site manager در پاسخ سیمین
دوشنبه ۱ مرداد ۱۴۰۳ - ۱۲:۰۵

با سلام
مانند هر عمل جراحی دیگری، ابدومینوپلاستی نیز می‌تواند با عوارضی همراه باشد. این عوارض ممکن است شامل کبودی، تورم، درد، عفونت، اسکار و بی حسی پوست باشد اما توجه داشته باشید که همه این موارد موقتی است.

۰
۰
آرمیتا رضایی
یکشنبه ۶ خرداد ۱۴۰۳ - ۱۲:۱۵

سلام وقت بخیر
من ۱۹ سالمه بنظرتون سن کمی نیست برا ابدومینوپلاستی؟ یا میتونم انجام بدم؟

۰
۰
Site manager در پاسخ آرمیتا رضایی
سه شنبه ۸ خرداد ۱۴۰۳ - ۱۶:۳۲

سلام آرمیتا جان
به طور کلی، انجمن جراحان پلاستیک آمریکا (ASPS) ۲۱ سالگی را به عنوان حداقل سن ایده آل برای ابدومینوپلاستی در نظر می گیرد.

دلایل این امر عبارتند از:

رشد فیزیکی: بدن تا اوایل دهه ۲۰ سالگی به طور کامل رشد می کنه. انجام ابدومینوپلاستی قبل از این زمان می تونه منجر به نابرابری در نتایج به دلیل رشد بیشتر شه.
ثبات وزن: افراد جوان تر ممکنه نوسانات وزنی بیشتری رو تجربه کنن، که می تواند تاثیر منفی بر نتایج ابدومینوپلاستی داشته باشه.
امیدوارم این توضیحات به سوالتون پاسخ داده باشه.

۰
۰
محسن رفیق دوست
شنبه ۸ اردیبهشت ۱۴۰۳ - ۱۱:۲۴

سلام بعد از عمل لیپوساکشن میشه ورزش کرد؟ تا چند وقت بعد؟

۰
۰
Site manager در پاسخ محسن رفیق دوست
شنبه ۸ اردیبهشت ۱۴۰۳ - ۱۱:۲۴

سلام محسن جان، بله، ولی باید یه کم صبر کنید تا بدنتون بهبود پیدا کنه. معمولا بعد از ۲ تا ۳ هفته میتونید ورزش های سبک رو شروع کنید و بعد از ۶ تا ۸ هفته میتونید به فعالیت های ورزشی عادی خودتون برگردید.

۰
۰
سپیده رضاوند
پنجشنبه ۶ اردیبهشت ۱۴۰۳ - ۱۵:۵۷

کسی عمل ابدو انجام داده سوال دارم ازش

۰
۰
ناشناس
چهارشنبه ۵ اردیبهشت ۱۴۰۳ - ۱۴:۰۵

آیا عمل ابدومینوپلاستی درد زیادی داره؟؟؟

۰
۰
Site manager در پاسخ ناشناس
سه شنبه ۱۱ اردیبهشت ۱۴۰۳ - ۱۵:۴۶

ممکنه تا چند هفته بعد از ابدومینوپلاستی درد در شکم و پشت داشته باشید. البته درد شدیدی نیست و پزشک براتون مسکن تجویز میکنه.

۰
۰